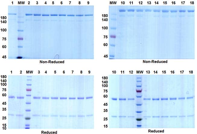
普健生物擁有自主研發的XtenCHOTM哺乳表達系統 , 能高效快速表達各種類型的抗體和重組蛋白。 高通量低內毒抗體表達平臺是大量生產抗體小樣經濟實惠的選擇, 表達體系從1ml至30ml,一次性可以同時進行200個樣本的轉染生產。 從基因合成到抗體純化,再到完善的抗體質量檢測系統(SDS-PAGE, Elisa, SEC-HPLC, Biacore,DSC, Octet,FACS 等),普健生物經過近十多年的技術積累能提供一站式服務及個性化設計,形成了完善的高通量質粒大提,重組單克隆抗體表達和低內毒素抗體純化平臺,純化的重組抗體內毒素含量可低至0.1 EU/ml,為抗體篩選及抗體藥開發提供便捷高效安全的服務。

聯系我們





