昆蟲桿狀病毒表達系統 (BEVS) 是一種利用桿狀病毒作為外源基因的載體,通過感染昆蟲細胞或者昆蟲幼蟲來表達外源蛋白的系統,是重要的真核表達系統之一。
1.昆蟲桿狀病毒表達系統的優勢:
a.桿狀病毒安全性好
b.攜帶外源基因的容量大
c.外源目的蛋白質表達水平高
d.表達的真核基因產品可以進行正確的折疊與修飾,因而具有良好的生物活性。
2.與哺乳細胞相比昆蟲表達系統的優勢:
a.培養條件相對簡單,不需要CO2
b.不容易被細菌污染
c.能進行蛋白翻譯后糖基化修飾
d.大規模生產條件簡單,更易獲得大量蛋白
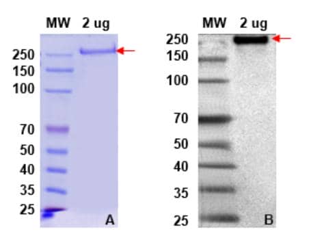
常見的表達載體及特征
| 載體 | 特征 |
| pFastBac1 |
用于高水平蛋白表達的強AcMNPV多角體基因 (PH)啟動子 用于簡化克隆的大型多克隆站點 |
| pFastBacHT |
用于高水平蛋白表達的強多角體(PH)啟動子 用于使用金屬螯合樹脂純化重組融合蛋白的N端6His標簽,以及用于在蛋白純化后去除6His標簽的TEV蛋白酶裂解位點 用于簡化克隆的三個讀碼框的載體 |
| pFastBacDual |
用于同時表達兩種蛋白的兩個強桿狀病毒啟動子(PH 和 p10) 用于簡化克隆的兩個大型多克隆位點 |
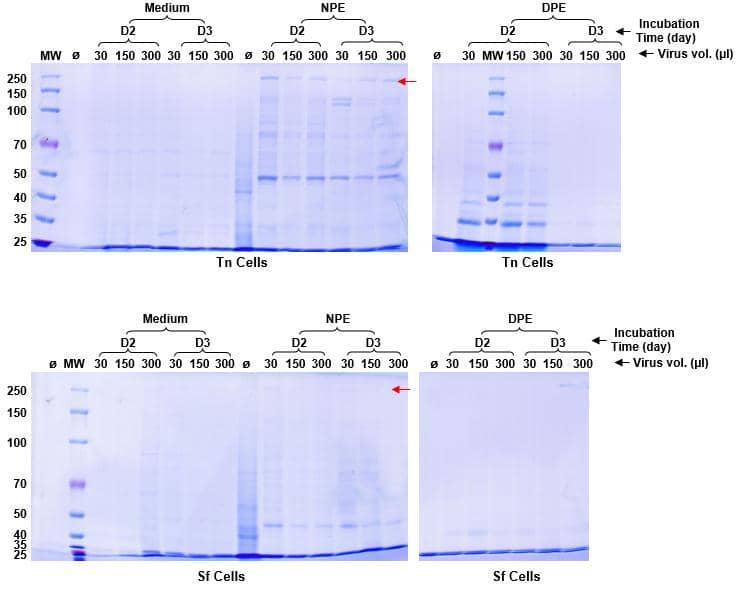
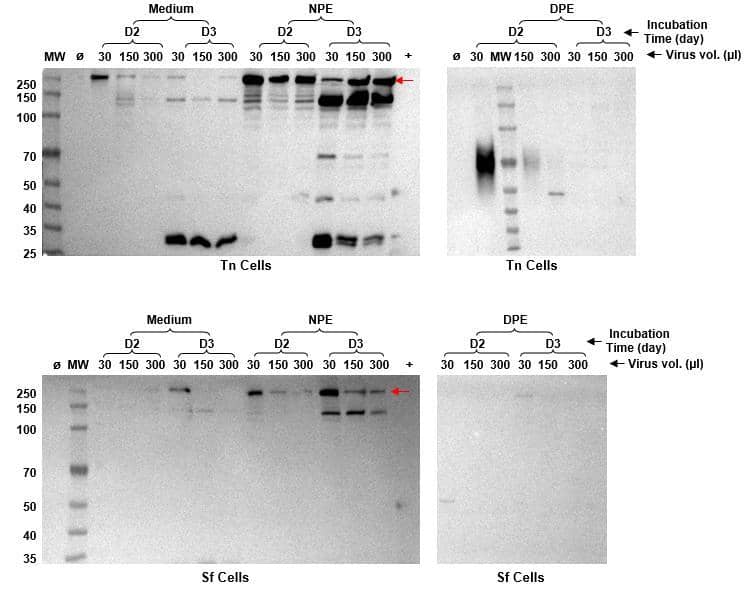
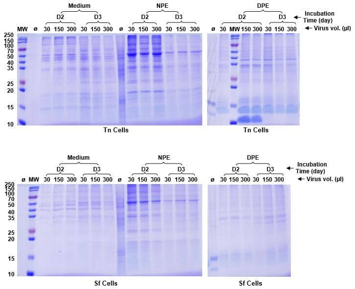
常見的表達細胞及特征
| 細胞 | 來源 | 用途 |
| Sf9 | Sf9細胞系克隆分IPLBSF21-AE(Sf21),來源于秋蠅蠕蟲(草地夜蛾)蛹的卵巢組織 |
適于轉染、純化、生產高滴度病毒、鋪板以及表達重組蛋白 |
| Sf21 |
Sf21細胞衍生于IPLBSF-21細胞系,也來源于秋蠅蠕蟲(草地夜蛾)蛹的卵巢組織 |
也適于轉染、純化、生產高滴度病毒、鋪板以及表達重組蛋白。在一些結構上Sf21細胞可能比Sf9細胞表達蛋白量高 |
| Hi5 |
Hi5細胞系源于博伊斯湯普森研究所對植物的研究和源于白菜尺蠖卵巢細胞,粉紋夜蛾細胞 |
Hi5細胞表達重組病毒性能優越, 經常用于轉染和空斑純化,也適用于表達分泌型重組蛋白 |
| S2 |
S2是一種果蠅晚期胚胎細胞。其中多為雌性四倍體細胞,也有雙倍體細胞 |
比較適合重組蛋白的表達 |

聯系我們












