1.細胞壁的組成簡單,分泌的蛋白質產品中不會混雜內毒素
2.能夠大量分泌胞外目的蛋白,回收和純化都較為簡單
3.擁有一套高效的分泌信號肽及分子伴侶系統,可以完成目的蛋白的高效分泌表達,避免包涵體的形成
1.細胞壁的組成簡單,分泌的蛋白質產品中不會混雜內毒素
2.能夠大量分泌胞外目的蛋白,回收和純化都較為簡單
3.擁有一套高效的分泌信號肽及分子伴侶系統,可以完成目的蛋白的高效分泌表達,避免包涵體的形成
1.擁有多種枯草芽孢桿菌表達載體,如pHT01、pHT43、pHT254
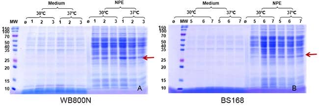
2.有多種不同的表達宿主,如胞內表達的AS1、1012和BS168,分泌表達的WB800N;可滿足胞內或者分泌表達的不同要求
3.可制備高效率的枯草芽孢桿菌感受態
| 服務項目 | 客戶提供 | 服務內容 | 服務周期 | 交付內容 |
| 枯草芽孢桿菌系統表達蛋白 | 基因序列 載體 菌株 |
基因合成 | 2-3周 | 基因合成報告 |
| 表達純化測試 | 2周 | 表達純化測試報告 | ||
| 1L 表達及純化 | 2周 | 蛋白樣品及報告 | ||
| 發酵及純化 | 1-4周 | 純化的蛋白及報告 |
